Kok Bisa Kepala Selang Air Masuk ke Tubuh Pria India Ini
Operasi berjalan lancar dan tidak terjadi pendarahan internal, sehingga pria ini bisa pulang dari rumah sakit 48 jam kemudian.
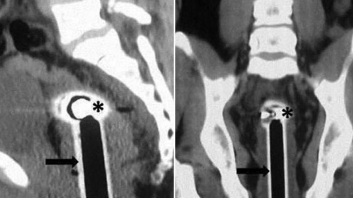
TRIBUNJAMBI.COM - Rumah Sakit Ram Manohar Lohia di New Delhi, India, belum lama ini menerima pasien dengan kepala selang air di dalam pantatnya. Pria ini mengaku, kepala selang berukuran 15 sentimeter itu masuk ke dalam pantat setelah ia tergelincir di kamar mandi.
Ia membantah sengaja memasukkan kepala selang sendiri. Dalam keterangan laporan dokter di jurnal BMJ, tanda-tanda vital stabil dan tidak ada pendarahan di rektum atau organ terakhir usus besar.Dari hasil pemindaian, kepala selang itu berada di panggulnya.
Beruntung,tidak terjadi kerusakan internal. Dirangkum dari The Sun, Senin (28/5/2018), setelah pasien dibius, dokter mulai melakukan operasi untuk melakukan pengangkatan benda tersebut dari tubuhnya. Operasi berjalan lancar dan tidak terjadi pendarahan internal, sehingga pria ini bisa pulang dari rumah sakit 48 jam kemudian.
Laporan ini memberi catatan terperinci terkait ukuran, materi, dan jumlah objek sebelum dikeluarkan dari tubuh pasien.
Baca: Hiii Ngeri Jangan Dicoba! Pemutih Ini Buat Kulit Pemakainya Mengelupas Bak Ular
"Anamnesis atau komunikasi antara dokter dan pasien adalah sesuatu yang wajib dilakukan agar kami tahu adanya gejala dan infeksi perforasi (pecahnya organ tubuh yang memiliki dinding atau membran, red), yang seringkali ditunjukkan dengan demam, sakit perut parah, dan pendarahan," tulis Dr Peeyush Kumar dalam laporan kasus tersebut.
"Meski sudah dilakukan komunikasi, seringkali informasi yang diberikan tidak jelas dan tidak lengkap karena rasa malu yang tinggi dan adanya stigma sosial yang melekat. Hal tersebut terlihat dalam kasus kami," imbuhnya.
Baca: 5 Kasus Sakit Perut Paling Aneh dalam Dunia Kedokteran. Nomor 4 Dialami Warga Indonesia
"Meski pasien mengaku benda itu masuk ke tubuhnya karena tidak sengaja, ada kecurigaan tinggi dari kami bahwa benda itu sengaja disisipkan olehnya untuk tujuan erotis," tutup Kumar.
Kumar menambahkan, ada banyak kasus benda asing dikeluarkan dari rektum. Mulai dari botol, kaleng, bola lampu, batu, batang kecil, buah, sayuran, vibrator, dildo, atau mainan. "Memasukkan benda untuk tujuan erotis adalah penyebab paling umum," ungkapnya.
